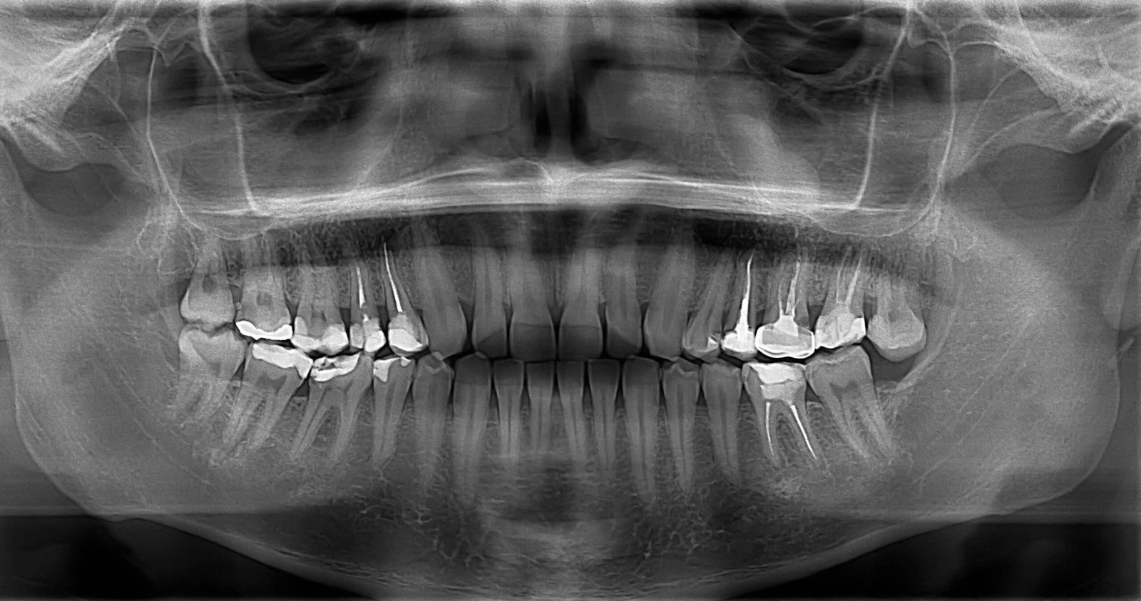
Eine Wurzelkanalbehandlung oder auch Wurzelbehandlung ist oft die letzte Möglichkeit, einen entzündeten oder abgestorbenen Zahn zu erhalten. Dabei wird das erkrankte Gewebe aus dem Inneren des Zahns entfernt, die Wurzelkanäle werden gründlich gereinigt, desinfiziert und anschließend dicht verschlossen. Dank moderner Verfahren lässt sich ein Zahn, der früher verloren gegangen wäre, heute langfristig retten.
In unserer Praxis in Leipzig setzen wir dabei konsequent auf Mikroskop-Endodontie und hochspezialisierte Instrumente. Diese Technik ermöglicht es, selbst feinste Strukturen sichtbar zu machen und präzise zu behandeln. So wird Ihre Behandlung nicht nur erfolgreicher, sondern auch sanfter und angenehmer.
„Zahnerhalt statt Zahnersatz – Unser Anspruch ist es, Zähne durch schonende, mikroskopgestützte Endodontie langfristig zu erhalten – präzise, sicher und nachvollziehbar.“
– DS Matthias Winkler, Spezialist für Zahnerhalt und Wurzelbehandlungen-
Bei einer Wurzelkanalbehandlung öffnen wir den Zahn vorsichtig, um das entzündete oder abgestorbene Nervengewebe zu entfernen. Mit Hilfe eines Mikroskops und spezialisierter Nickel-Titan-Instrumente reinigen und formen wir die Kanäle gründlich, bevor sie mit modernen Materialien dicht verschlossen werden. Diese Therapie – auch Endodontie genannt – verhindert, dass Bakterien im Zahn verbleiben und eine erneute Entzündung auslösen.
Eine sorgfältige Wurzelbehandlung Leipzig führt dazu, dass der Zahn seine Funktion behält und Sie wieder beschwerdefrei kauen können. So vermeiden wir unnötige Extraktionen und teuren Zahnersatz.
Eine Wurzelkanalbehandlung ist immer dann notwendig, wenn der Zahnnerv entzündet oder abgestorben ist – meist verursacht durch tiefe Karies, Zahnverletzungen oder Risse. Typische Anzeichen sind starke Schmerzen, Empfindlichkeit beim Kauen oder Schwellungen am Zahnfleisch. Ohne Behandlung kann sich die Entzündung ausbreiten und den Zahn irreversibel schädigen.
Mit Hilfe von Endodontie Leipzig, also mikroskopischer Wurzelkanalbehandlung, entfernen wir das entzündete Gewebe vollständig, reinigen die Kanäle gründlich und verschließen sie bakteriendicht. So lassen sich selbst stark geschädigte Zähne noch viele Jahre erhalten.
Wir vereinen moderne Diagnostik, digitale Technik und mikroskopgestützte Endodontie. Dadurch werden Wurzelbehandlungen noch sicherer und präziser.
Digitale Planung
DVT-Bildgebung zeigt komplexe Strukturen schon vor der Behandlung.
EndoPilot-Technologie
Echtzeitmessung, automatische Drehmomentkontrolle und intelligente Bewegungen schützen Zahn und Instrumente.
Mikroskopischer Zugang
Feinste Strukturen des Wurzelkanals werden sichtbar und zuverlässig gereinigt.
Moderne Materialien
Biokeramische Sealer sorgen für eine dichte, langlebige Versiegelung.
Strenge Hygiene
Kofferdam und sterile Abläufe garantieren maximale Sicherheit.
Individuelle Betreuung
Persönliche Beratung und Nachsorge begleiten jede Behandlung.
Was sind die Vorteile einer Wurzelkanalbehandlung
Der größte Vorteil: Ihr eigener Zahn bleibt erhalten. Durch die maschinelle Aufbereitung von Wurzelkanälen und Mikroskop gelingt eine besonders präzise Reinigung und Versiegelung der Wurzelkanäle. Das bedeutet: keine aufwendigen Brücken oder Implantate, sondern die langfristige Bewahrung Ihrer natürlichen Zahnsubstanz – oft über viele Jahre hinweg.
Der EndoPilot misst die Kanallänge in Echtzeit und kontrolliert das Drehmoment während der maschinellen Aufbereitung. So wird der Zahn besonders schonend behandelt. Diese Kombination aus digitaler Kontrolle und modernsten Materialien erhöht die Erfolgsquote deutlich und sorgt dafür, dass Ihr Zahn stabil und funktionstüchtig im Mund bleibt.
Durch die digitale Unterstützung läuft die Behandlung schneller und ruhiger ab. Das bedeutet für Sie: weniger Zeit im Behandlungsstuhl, eine schmerzfreie Behandlung durch moderne Betäubung und ein insgesamt entspannteres Gefühl.
Unser Leistungsspektrum
Bei akuten Entzündungen führen wir die erste Wurzelkanalbehandlung durch. Mit flexiblen Spezialinstrumenten reinigen wir die Kanäle gründlich und versiegeln sie dicht. So können Schmerzen effektiv beseitigt und der Zahn langfristig gerettet werden.
Wenn eine ältere Wurzelbehandlung Beschwerden verursacht oder nicht vollständig gelungen ist, kann eine Revision Abhilfe schaffen. Unter mikroskopischer Sicht entfernen wir altes Material, reinigen erneut und füllen die Kanäle nach neuesten Standards.
Bei anhaltenden Beschwerden trotz Behandlung kann eine Wurzelspitzenresektion notwendig sein. Dabei wird das entzündete Gewebe an der Wurzelspitze chirurgisch entfernt. Mit präziser Technik und moderner Bildgebung sichern wir eine schnelle Heilung.
Diesen Patienten haben wir bereits ein Lächeln geschenkt
Sie sehen gerade einen Platzhalterinhalt von Standard. Um auf den eigentlichen Inhalt zuzugreifen, klicken Sie auf den Button unten. Bitte beachten Sie, dass dabei Daten an Drittanbieter weitergegeben werden.
Weitere InformationenDie Aufnahme zeigt die ruhige, strukturierte Vorbereitung eines Eingriffs: sterile Abdeckung, sorgfältige Instrumentenwahl und klare Teamkommunikation. So entsteht ein Umfeld, in dem jeder Handgriff sitzt und Gewebe maximal geschont wird. Für Sie bedeutet das planbare Abläufe, kürzere OP-Zeiten und eine angenehme Erfahrung – von der Anästhesie bis zur letzten Kontrolle.
Mit DVT-3D-Bildgebung, Operationsmikroskop und navigationsgestützter Planung erreichen wir hohe Präzision bei geringer Invasivität. Kofferdam, atraumatische Instrumente und biokompatible Materialien unterstützen die Gewebeschonung und Stabilität.
Strenge Hygieneketten, validierte Sterilisation und dokumentierte Qualitätsprozesse sorgen für maximale Sicherheit. Durchdachte Schmerz- und Schwellungsprotokolle sowie engmaschige Nachsorge begleiten Sie zuverlässig durch Heilung und Stabilisierung.
„Als Fachzahnarzt für Oralchirurgie und Implantologie in Leipzig begleite ich Sie vom ersten Beratungsgespräch bis zur Nachsorge – mit mit langjähriger OP-Erfahrung und verständlicher Aufklärung.“
–Dr. med.dent. Elisa Krafft, Fachzahnärztin für Oralchirurgie in Leipzig-
Erhalten Sie Ihren Zahn mit einer modernen, mikroskopgestützten Wurzelkanalbehandlung
Damit Ihr Bleaching-Ergebnis nicht nur sichtbar heller, sondern auch sicher und langanhaltend ist, folgt die Behandlung einem klar strukturierten, medizinisch fundierten Ablauf. Jeder Schritt wird individuell auf Ihre Zähne, Wünsche und Bedürfnisse abgestimmt – für ein ästhetisches Lächeln, das überzeugt.
1 Diagnostik & Planung
DVT/Scan, Befundbesprechung und ein klarer OP-Plan mit Zeitrahmen.
2 Eingriff
Schonende Anästhesie, minimalinvasive Technik und präziser Wundverschluss.
3 Frühphase Heilung
Schmerz- und Schwellungsprotokoll, Kontrolltermin und Verhaltenstipps.
4 Stabilisierung
Abschlusskontrolle, Belastungsaufbau und langfristige Empfehlungen.
Schonend. Sicher. Zahnärztlich begleitet. Unsere Bleaching-Behandlung basiert auf bewährten Verfahren und wird unter zahnärztlicher Aufsicht durchgeführt.
Das Ergebnis: sichtbar hellere Zähne, langanhaltend und besonders sanft zu Zahnschmelz und Zahnfleisch.
Perfekt abgestimmt – auch bei Zahnersatz oder Alignern. Wenn Sie Kronen, Veneers, Implantate oder eine Aligner-Behandlung planen, sorgt eine vorherige Zahnaufhellung für ein ästhetisch harmonisches Gesamtbild.
So fügt sich alles perfekt in Ihr neues Lächeln ein – gleichmäßig, gepflegt und natürlich.
Jetzt beraten lassen. Unser Team ist gerne für Sie da. Vereinbaren Sie jetzt Ihren persönlichen Beratungstermin – für Ihr schönstes Lächeln.
Warum länger zögern? Professionelles Bleaching ist der schnellste, sicherste und effektivste Weg zu helleren Zähnen – in nur einer Sitzung.
Wir begleiten Sie mit Erfahrung, Einfühlungsvermögen und modernster Technik zu Ihrem Wunschlächeln.
Ob als Vorbereitung auf einen besonderen Anlass, für den beruflichen Auftritt oder einfach, weil Sie sich selbst etwas Gutes tun möchten – Bleaching ist ein kleiner Schritt mit großer Wirkung.








Ob es um die richtige Zahnpflege, spezifische Behandlungen wie Implantologie und Oralchirurgie oder den Umgang mit Zahnarztangst geht – hier finden Sie hilfreiche Informationen und Tipps.
Die Kosten für ein Bleaching, inklusive der im Vorfeld stattfindenden PZR, betragen 500,00 € (inkl. MwSt). Zusätzlich erhalten Sie zu dem KV ein Merkblatt mit Verhaltensregeln und eine Zahnpasta zur Remineralisierung.
Ein professionelles Zahnbleaching erzielt langanhaltende Ergebnisse – wie dauerhaft sie sichtbar bleiben, hängt jedoch maßgeblich von Ihrer Mundhygiene und Ihren Lebensgewohnheiten ab. Damit Ihre Zähne möglichst lange strahlend weiß bleiben, empfehlen wir, auf stark färbende Lebensmittel und Getränke wie Kaffee, Tee, Rotwein oder Nikotin zu verzichten bzw. den Konsum zu reduzieren. Auch regelmäßiges Zähneputzen und professionelle Zahnreinigungen tragen entscheidend zur Farbkonstanz bei.
Mit der richtigen Pflege können Sie das Ergebnis viele Monate, oft sogar über ein Jahr hinweg erhalten. Sollte sich die Zahnfarbe mit der Zeit dennoch verändern, ist eine erneute Aufhellung jederzeit möglich. Wir empfehlen dabei aus zahnmedizinischer Sicht, zwischen zwei Bleaching-Behandlungen einen Abstand von etwa 6 bis 12 Monaten einzuhalten. So vermeiden Sie unnötige Empfindlichkeiten und erhalten die Gesundheit Ihrer Zähne langfristig.
Die gesamte Behandlung dauert in der Regel zwischen 90 und 120 Minuten. In dieser Zeit analysieren wir Ihre Zahnfarbe, führen eine sanfte Vorbehandlung durch und hellen Ihre Zähne in einem strukturierten Schritt-für-Schritt-Verfahren auf. Bereits nach dem ersten Termin sind sichtbare Ergebnisse erkennbar.
Durch das Bleaching können bis zu neun Farbstufen weißere Zähne erreicht werden. Wir messen das Bleaching Ergebnis mit einer sog. Farbskala. Dabei wird die Skala mit der Farbe Ihrer Zähne Vor- und Nach dem Bleaching verglichen und Fotos von Ihren Zähnen gemacht. Frei verkäufliche Bleaching Produkte aus der Drogerie erreichen meist deutlich schlechtere Ergebnisse.
Die Haltbarkeit liegt im Durchschnitt zwischen 1 und 3 Jahren. Wie schnell die Zähne wieder etwas dunkler werden, hängt davon ab, wie Sie sich ernähren und welche Genussmittel Sie konsumieren: Wenn Sie viel Tee, Kaffee, Rotwein oder Cola trinken und rauchen, werden sie schneller wieder dunkler. Wenn nicht, bleiben sie jahrelang hell.
Eine professionelle Aufhellung beim Zahnarzt ist in hohem Maße sicher! Vor dem Bleaching kontrollieren wir Ihre Zähne, um dadurch mögliche Risiken auszuschließen. Außerdem erfolgt vor dem Bleaching eine professionelle Zahnreinigung, um ein gleichmäßiges Ergebnis zu erhalten und störende Beläge zu entfernen, die das Bleaching Ergebnis stark verschlechtern.
Werden die Zähne in Eigenregie zuhause aufgehellt, können Löcher in den Zähnen oder undichte Füllungen Probleme verursachen. In unserer Praxis in Leipzig verwenden wir dabei professionelle Aufhellungs-Gele. Das sind zugelassene Medizinprodukte mit bewährten Inhaltsstoffen. Diese sind so zusammengesetzt, dass sie den Zähnen nicht nur nicht schaden. Manche helfen sogar dabei, den Schmelz zu härten!
Die Behandlung ist in über 95 % der Fälle vollkommen schmerzfrei.
In seltenen Fällen kann es für 1–2 Tage nach der Behandlung zu einer leichten Empfindlichkeit kommen, vor allem bei Kälte. Diese klingt jedoch in der Regel rasch ab und lässt sich mit spezieller Zahnpasta vorbeugen. Auch hier beraten wir Sie individuell.
Bleaching-Behandlungen in der Zahnarztpraxis führen in der Regel zu wesentlich besseren und langanhaltenderen Ergebnissen, als das Bleichen zuhause. Denn Zahnärztinnen und Zahnärzte können im Gegensatz zu Laien professionell beurteilen, welche Bleaching-Methode im konkreten Einzelfall geeignet ist und welches Bleichmittel verwendet werden sollte.
Zahnaufheller für den Hausgebrauch können unerwünschte Nebenwirkungen gesundheitlicher und ästhetischer Art haben.







Sie sehen gerade einen Platzhalterinhalt von Google Maps. Um auf den eigentlichen Inhalt zuzugreifen, klicken Sie auf die Schaltfläche unten. Bitte beachten Sie, dass dabei Daten an Drittanbieter weitergegeben werden.
Mehr InformationenSie sehen gerade einen Platzhalterinhalt von Vimeo. Um auf den eigentlichen Inhalt zuzugreifen, klicken Sie auf die Schaltfläche unten. Bitte beachten Sie, dass dabei Daten an Drittanbieter weitergegeben werden.
Mehr InformationenSie sehen gerade einen Platzhalterinhalt von YouTube. Um auf den eigentlichen Inhalt zuzugreifen, klicken Sie auf die Schaltfläche unten. Bitte beachten Sie, dass dabei Daten an Drittanbieter weitergegeben werden.
Mehr InformationenSie müssen den Inhalt von reCAPTCHA laden, um das Formular abzuschicken. Bitte beachten Sie, dass dabei Daten mit Drittanbietern ausgetauscht werden.
Mehr InformationenSie sehen gerade einen Platzhalterinhalt von Facebook. Um auf den eigentlichen Inhalt zuzugreifen, klicken Sie auf die Schaltfläche unten. Bitte beachten Sie, dass dabei Daten an Drittanbieter weitergegeben werden.
Mehr InformationenSie sehen gerade einen Platzhalterinhalt von Instagram. Um auf den eigentlichen Inhalt zuzugreifen, klicken Sie auf die Schaltfläche unten. Bitte beachten Sie, dass dabei Daten an Drittanbieter weitergegeben werden.
Mehr InformationenSie sehen gerade einen Platzhalterinhalt von X. Um auf den eigentlichen Inhalt zuzugreifen, klicken Sie auf die Schaltfläche unten. Bitte beachten Sie, dass dabei Daten an Drittanbieter weitergegeben werden.
Mehr Informationen